リーゲルテレスコープ外冠試適時のチェックポイントについて
こんにちは。
Weber dental labor 稲葉由里子です。
前回の、全顎リーゲルテレスコープの内冠試適と外冠の印象方法について
に引き続き、リーゲルテレスコープ外冠試適時のチェックポイントについてお伝えしたいと思います。
技工をお願いさせていただいたのは、京王歯研の小林さん。
コバルトクロムのリーゲルテレスコープをこれだけ精度を高めて扱う事ができる方はいらっしゃらないと思います。
コバルトクロムの魅力は、強度がありながらも軽いことです。
失活歯が多い支台歯は、ゴールドの重さに絶えられない事がしばしばあります。
そのような時にコバルトクロムの軽さは大変魅力的です。
鍵を開いたところです。
咬合器に付着するとこんな感じです。
内冠もとにかく、軽い。まるで羽のようです。
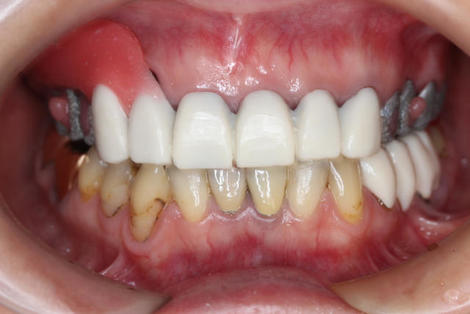
実際に、外冠を入れて、まずは鍵が閉まるかどうかをチェックします。
床に浮き上がりがないかどうか。
右上2番の近心、歯茎部のマージンが黒く見えているので、もう少し厚めに覆ってもらえるようにお願いしました。
また、歯冠長の長さが1ミリ長かったので、チェアサイドで調整を行いました。
よく見て頂きたいのが、シュパルテ床です。
アーラインが浮き上がっていないか、また口蓋部の適合も良く見ておきます。
患者様の中には、口蓋のシュパルテの違和感を心配される方がいらっしゃいますが、まず問題ないこと。
シュパルテの違和感をおっしゃる方はほとんどいらっしゃらないことをお伝えし、できる限りつけることです。
ここで床をつけないと、後から支台歯に負担がかかるということもお伝えいただければ、患者様は納得してくださいます。
もうひとつのチェックポイントは、咬合高径と、バイトですね。
どうしても内外冠がくるのでクリアランスが足りない場合もあります。
そのような時、咬合面がメタルになる可能性があることは、この時点で、患者様にお伝えしておくと良いと思います。
バイトがずれている場合は、パターンレジンで記録するか、ユージノールペーストのようなカッチリと固まる材料でバイトを記録してください。
シリコンだと、ズレてしまう可能性があります。
最後にシェードテイキング。
これが、難しいのです・・・
下顎の前歯が残っている場合には、その色に合わせないと全体的に浮いてしまいます。
特に1本ではなく、全顎なので、ずらっと並ぶイメージがなかなか湧きません。
また、ほとんどの患者様が真っ白な歯を望まれるのではなく、自然に見えるようにして欲しいとおっしゃいます。
患者様のご希望もあり、今回は、VITAのシェード、A3.5で何枚か写真をとりお願いしようと思います♪
できることなら、前装してもう一度試適を行うのが最善ですが、海外からの患者様ですので、次回完成させようと思います。
患者様からお土産に、Nony のオーガニック石けんを沢山頂きました。
いつもいつもありがとうございます!!
もどる