17年経過〜リーゲルテレスコープ症例〜
こんにちは。
Weber dental labor 稲葉由里子です。
先日、リーゲルテレスコープ治療後17年経過した患者様がメンテナンスにいらっしゃり、当時私が治療した方針が正しかったのだと嬉しく思ったのでご紹介させていただきたいと思います。
現在、患者様は香川県にお住まいで、1年に1度稲葉歯科医院にメンテナンスに来院、毎月地元の歯科医院でもメンテナンスを受けていらっしゃいます。
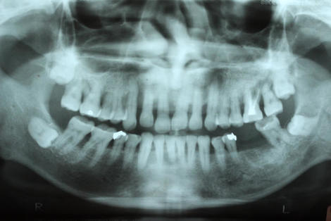
平成12年に初診で来院、レントゲン写真を見ていただくと、特に上顎ですが、全体的に歯周病が進んでいて動揺もありました。
残念ながら、右上1番、左側の7.8番はどうしても保存ができなかったため抜歯。
リーゲルテレスコープで内冠を連結し、外冠を製作して完成させました。
右上の2番を孤立させているのは、動揺があり、近い将来保存が難しいだろうと予測して離しておきました。
外冠で一次固定させています。
こちらは、平成18年の時に写したレントゲン写真。
ほとんど変わりがありません。
リーゲルテレスコープは、内冠を連結することで強い固定効果があります。
たとえば、動揺している歯の隣在歯をT-fix スーパーボンドで固定をすると動揺が緩和されますが、これを内冠で行うと、驚く程の固定力があり、多少揺れている歯も保存することができます。
こちらが、患者様の体の一部として機能しているリーゲルテレスコープ。
咬合面観です。
現在は材料も進化し、咬合面も前装で白くすることができますが、当時はメタルで対応し、リーゲルレバーは、左の6番が将来危ないと思っていたので、鍵を前側に移しました。
口腔内写真です。
歯肉も綺麗ですし、動揺もありません。
平成29年のレントゲン写真。
心配していた、2番は意外にも大丈夫でしたが、左上の6番が破折しました。
痛みはないので抜歯を急ぐ必要はありませんが、患者様により長く使って頂くために、次回、床とシュパルテを増設修理をさせていただくことになりました。
患者様は
「高いなと思いながらも、退職金を使って歯に投資をしてよかった、あの時治療をしていなかったらすべての歯を失っていたと思う。」
とおっしゃっていました。
この歯と共に、最後まで人生を過ごしたいと思うので、由里子先生が提案してくれる修理方法があるのであれば、なんでもお願いしたいとでした。
17年前、私はまだ20代。
「先生、自信満々で薦めてくれましたよ!」
どこからそんな自信が湧いていたのかわかりませんが、若い私に投資をしてくださった患者様に感謝です(^_<)-☆
テレスコープシステムはこのように、修理をしながら長く使って頂く事ができます。
更に長く使って頂くために、これからも責任を持って見守っていきたいと思います。
もどる